Adriatic-Dent in Rovinj Kroatien Dentalklinik Adrtiatic-Dent in Rovinj Kroatien Zahnklinik Adriatic-Dent in Rovinj Kroatien
Kroatien Zahnmedizin  Kroatien Zahnmedizin  Rovinj Zahnmedizin  Istrien Zahnmedizin
Herzlich Willkommen auf unserer Webseite
Kroatien Zahnarzt - Kroatien Zahnarzt - Kroatien Zahnarzt - Kroatien Zahnimplantat - Kroatien Implantat - Kroatien Zahnersatz - Kroatien Zahnersatz - Kroatien Zahnkrone - Kroatien
Verbinden Sie Ihre Zahnbehandlung mit einem Urlaub im wunderschönen Rovinj - Kroatien
Rovinj wurde zu einem der 30 aufstrebendsten Reiseziele
der Welt für das Jahr 2020 gewählt
Kroatien Zahnarzt - Kroatien Zahnarzt - Kroatien Zahnarzt - Kroatien Zahnimplantat - Kroatien Implantat - Kroatien Zahnersatz - Kroatien Zahnersatz - Kroatien Zahnkrone - Kroatien
zahnarzt, kroatien, rovinj, istrien, implantologie, kroatien zahnarzt, zahnimplantat, straumann zahnimplantat, zahnersatz, zahnprothese, zahnkrone, zirkonkrone, günstige zahnarzt in kroatien, kroatien günstige zahnarzt, dentalklinik, zahnklinik, pula, porec, vodice, dubrovnik, mljet, insel mljet, halbinsel peljesac, ungarn
   
Zahnimplantate•Prothetik•Zahnbrücken•Vollprothesen•Teilprothese•Metallkeramikkronen •Zirkonkeramikkronen
Aufbau Zahnknoches•Sinus-Lift•Paradontologie•Orale Chirurgie•Kieferorthopedie•Radiologische Analise
Ästhetische Zahnmedizin•Keramischen Verblendschalen - Veneres•Bleaching - Zahnaufhelung
 
Lassen Sie sich einen Kostenvoranschlag bei Ihrem Zahnarzt erstellen
und verlangen Sie eine Vergleichs-Offerte von uns.
   
 

  Für die Reise zu der Klinik Adriatic-Dent in Rovinj-Kroatien gibt es verschiedene Möglichkeiten:zahnarzt, kroatien, rovinj, istrien, implantologie, kroatien zahnarzt, zahnimplantat, straumann zahnimplantat, zahnersatz, zahnprothese, zahnkrone, zirkonkrone, günstige zahnarzt in kroatien, kroatien günstige zahnarzt, dentalklinik, zahnklinik, pula, porec, vodice, dubrovnik, mljet, insel mljet, halbinsel peljesac, ungarn

Kroatien Zahnarzt - Kroatien Zahnarzt - Kroatien Zahnarzt - Kroatien Zahnimplantat - Kroatien Implantat - Kroatien Zahnersatz - Kroatien Zahnersatz - Kroatien Zahnkrone - Kroatien
  Kontaktieren Sie uns per: • Anfrageformular • E-mail: vodice@bluewin.ch • Telefon: 0041 (0)78 799 60 24
Kroatien Zahnmedizin  Kroatien Zahnmedizin  Rovinj Zahnmedizin  Istrien Zahnmedizin
Home
Referenzen
Über uns
Behandlungsangebot
  Zahnimplantate
  Prothetik
  Parodontologie
  Orale Chirurgie
  Kieferorthopädie
  Cad Cam Tehnologie
  Ästhetische Zahnmedizin
  Radiologische Analise
  Aufbau des Zahnknoches
  Behruhigung
Preise
Kontakt
So finden Sie uns
Reise
Rovinj
Villa Vigneto
Billigflüge nach Kroatien
 
Regenius
Zahnklinik in Zagreb
 

Adriatic-DentZahnarzt in Kroatien
Kroatien Zahnarzt in Rovinj  | Istrien Zahnarzt  |  Rovinj Zahnarzt |  Kroatien Zahnimplantat |  Istrien Zahnimplantat |  Rovinj Zahnimplantat |  Kroatien Zahnklinik |  Kroatien DentalklinikZahnarzt in Kroatien

Öffnungszeiten:Kroatien Zahnarzt
Montag, Mittwoch, Donnerstag, Freitag und Samstag ab
09:00 bis 16:00 Uhr
Dienstag ab 13:00 bis 20:00 Uhr
Jede zweite Samstag geschlossen
Sonntags-geschlössenKroatien Zahnarzt

 
Verbinden Sie Ihre Zahnbehandlung mit einem Urlaub
im wunderschönen Rovinj
 
Kroatien ästhetische Zahnmedizin  
   

Die ästhetische Zahnmedizin umfasst :

- Zähnebleichen
- Zahnschalen - Veneers
- Zahnschmuck
 
   
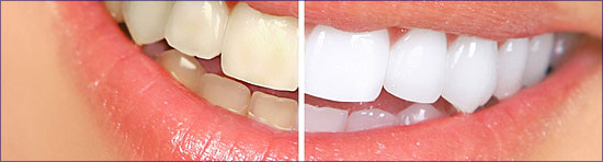
Aber es gibt dennoch keine feste Gliederung davon, weil die moderne ästhetische Zahnmedizin sowohl die Implantaten Einsetzung, die weiße Zahnfüllungen, als auch Zirkonkronen, kieferorthopädische Apparaturen und Prothesen umfasst. Für das professionelle Zähnebleichen wird heute Hydrogenperoxid verwendet, während für das Zuhause-Zähnebleichen werden Bleachingmittel mit Karbamidperoxit benutzt. Bei uns in der Poliklinik Adriatic dent bleichen wir die Zähne mit Beyond Apparatur, die eine spezielle Bleichlampe ist. Der Eingriff dauert ungefähr eine Stunde und als Ergebnis bekommt man vier bis sechs Mal weißere Zähne  
   
Nach dem Eingriff ist es empfohlen, sich eine Schiene einsetzen zu lassen, um die Weiße der Zähne zu erhalten. Bei uns wird auch das Bleichen toter Zähne durchgeführt. In die Höhle des oberen Zahnnervs wird eine Wasserstoffperoxyd-Lösung eingebracht; die Lösung steht im Zahn für 24 bis 72 Stunden bleiben. Der Patient soll unter Beobachtung während des ganzen Eingriffs bleiben. Nach dem Eingriff wird die Lösung aus dem Zahn herausgezogen, und der Zahn mit eine Füllung gefüllt.
 
Zahnschalen- Veneers : oder Verblendeschalen – bieten eine gute Möglichkeit Zahne zu verbessern und zu verschönern. Besonders nützlich haben sie Sicht bei Problemen mit Zahnlücken, graue und gelbe Zähnen, Makeln an dem Zahnschmelz und bei Karies gezeigt. Das Verfahren wird ohne Beschleifen durchgeführt, weil die Veneers einfach auf dem Frontalfläche des Zahns geklebt werden. Sie werden aus Glas-Keramik hergestellt und geben den Patienten ein natürliches und glänzendes Lächeln. Die CAD CAM Technik hat auch die Herstellung von Veneers beschleunigt: z.B. für die 4 Frontzähne braucht man nur ein paar Stunden. mehr über Zahnschalen-Veneers

Zahnschalen-Veneers in Kroatien
 
Zahnschmuck: Anhand spezieller Technik, die nicht den Zahn oder den Zahnschmelz zerstört, können wir Ihre Zähne mit Zahnschmücke verschönern.
 

Lassen Sie sich einen Kostenvoranschlag bei Ihrem Zahnarzt erstellen und verlangen Sie eine Vergleichs-Offerte von uns.

 
kroatien ästhetische zahnmedizin, ästhetische zahnmedizin kroatien, kroatien zahnmedizin, ästhetische zahnmedizin rovinj, rovinj ästhetische zahnmedizin, istrien ästhetische zahnmedizin, kroatien veneers, kroatien schöne zähne, kroatien zähnebleichen, Zahnschmuck in kroatien
Kroatien Zahnarzt
Implantate:
Straumann (aus der Schweiz),
Sky bredent
(aus Deutschland)
  Billigflüge:
nach Kroatien

  Gratis transport von:
Rijeka und Pula
Kroatien Zahnarzt
 
kroatien ästhetische zahnmedizin, ästhetische zahnmedizin kroatien, kroatien zahnmedizin, ästhetische zahnmedizin rovinj, rovinj ästhetische zahnmedizin, istrien ästhetische zahnmedizin, kroatien veneers, kroatien schöne zähne, kroatien zähnebleichen, Zahnschmuck in kroatien kroatien ästhetische zahnmedizin, ästhetische zahnmedizin kroatien, kroatien zahnmedizin, ästhetische zahnmedizin rovinj, rovinj ästhetische zahnmedizin, istrien ästhetische zahnmedizin, kroatien veneers, kroatien schöne zähne, kroatien zähnebleichen, Zahnschmuck in kroatien kroatien ästhetische zahnmedizin, ästhetische zahnmedizin kroatien, kroatien zahnmedizin, ästhetische zahnmedizin rovinj, rovinj ästhetische zahnmedizin, istrien ästhetische zahnmedizin, kroatien veneers, kroatien schöne zähne, kroatien zähnebleichen, Zahnschmuck in kroatien
 
© All rights reserved by Burhu Besucherzaehler· Webmaster: Bupet